Presentation of small mammals for abdominal pain and gastrointestinal stasis is common in clinical practice. However, there is an important distinction between gastrointestinal stasis and severe, acute gastrointestinal disease that must be identified.
Several abdominal conditions of rabbits and guinea pigs are classified as emergency presentations and require immediate identification and treatment for any hope of a successful recovery. In many of these cases, surgical intervention is required to successfully treat these patients. Knowing the presenting signs or clinical presentations of these acute abdominal conditions is paramount for appropriate treatment and good case outcomes.

Overview
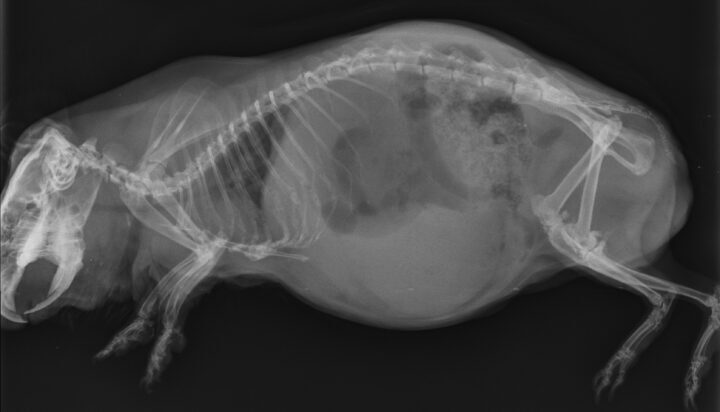
Gastrointestinal obstruction in rabbits is not uncommon, and it is imperative that clinicians are able to differentiate cases of obstruction from cases of gastrointestinal stasis. It is important that obstruction cases are identified early, as intensive treatment must be started swiftly. As rabbits cannot vomit, gastrointestinal contents proximal to the obstruction continue to build, and gas accumulates as the contents ferment, resulting in severe intestinal and gastric tympany; in prolonged cases, this can lead to rupture of the gastrointestinal tract (Figure 1).
The most common cause of gastrointestinal obstruction in rabbits is a pellet of impacted fur, which looks similar to a normal faecal pellet but is made of fur rather than plant matter (Harcourt-Brown, 2013).
Clinical signs

Clinical signs of gastrointestinal obstruction in rabbits can be subtle, as rabbits can be adept at hiding pain.
Often there is a rapid onset of anorexia or abnormal behaviour, and patients can deteriorate rapidly within several hours (Harcourt-Brown, 2013). Patients may also show signs of pain, such as an arched back and hunched posture (Figure 2), closed or squinted eyes and flattened cheeks. The stomach will be palpably enlarged and firm and extend beyond the cranial border of the last rib (Harcourt-Brown, 2007).
Patients often present hypothermic (Steinagel and Oglesbee, 2022) and require active warming. Patients should also be assessed for signs of shock and hypovolaemia and treated accordingly in a similar manner to canine and feline patients.
Diagnosis
Radiography
Radiography is an excellent tool to assess the presence of gastric dilation and intestinal obstruction. A retrospective study comparing radiographs of rabbits with gastrointestinal stasis and gastrointestinal obstruction identified several key features to differentiate between the two conditions (Debenham et al., 2019).
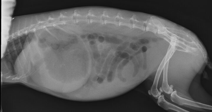
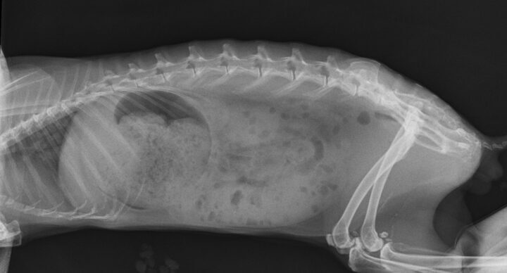
Cases of obstruction were more likely to have gastric distension where the sum of the height and length of the stomach was greater than or equal to the length from the first lumbar vertebra to the coxofemoral joint. Ninety-two percent of obstruction cases showed contact between the ventral aspect of the stomach and the ventral abdominal wall. In addition, most obstruction cases showed gastric contents consisting primarily of liquid with a “gas cap” (Figure 3A), whereas gastrointestinal stasis cases showed evidence of normal stomach ingesta (Figure 3B).
In cases of obstruction, gas in the small intestine but absent in the caecum is also a common finding (Huynh and Pignon, 2013).


Blood glucose
A significant correlation between blood glucose and the presence of a gastrointestinal obstruction has been identified, with one study showing that rabbits with confirmed gastrointestinal obstruction had an average blood glucose concentration of 24.7mmol/l compared to an average reading of 8.5mmol/l in rabbits with gastrointestinal stasis (Harcourt-Brown and Harcourt-Brown, 2012).
However, this study also showed that significant hyperglycaemia can be associated with other disease states (for example, urolithiasis or hepatic lipidosis) and that stress can have a significant impact on blood glucose concentrations. This is important to consider, as gastrointestinal obstruction cannot be diagnosed from one blood glucose reading alone. In cases where the clinician is unsure, serial blood glucose concentrations should be considered, in combination with assessment of the overall clinical picture.
A more recent study has confirmed these findings, reporting that rabbits with gastrointestinal obstruction had an average blood glucose measurement of 25.7mmol/l (Steinagel and Oglesbee, 2022). In addition, all rabbits with gastrointestinal obstruction were hyponatraemic, with an average sodium concentration of under 138mmol/l. As a general rule of thumb, rabbits with gastrointestinal stasis rarely have blood glucose concentrations higher than 15mmol/l, and any reading between 15.1 and 20mmol/l should be repeated in 30 to 60 minutes, after the commencement of medical management (Harcourt-Brown, 2013).
Treatment
Following diagnosis of gastrointestinal obstruction, a decision must be made as to whether to treat the patient medically or surgically.
Medical treatments
A medical protocol has been evaluated in one study involving metoclopramide, metamizole, fluids, electrolyte replacement and supplementary feeding, with a successful outcome in 89 percent of cases (Schuhmann and Cope, 2014). However, the “one size fits all” protocol is controversial (Harcourt-Brown, 2014), and some cases cannot be managed medically and will require surgery.
The choice of whether to manage these cases medically or surgically is not black and white but depends on numerous patient, owner and clinician factors
In cases that cannot be managed surgically, for example if the owners have cost constraints or if a “moving obstruction” is suspected, this author advocates for the use of opioid analgesia, a high volume of intravenous fluids, consideration of a lidocaine constant-rate infusion and the use of maropitant while monitoring the patient very closely.
The choice of whether to manage these cases medically or surgically is not black and white but depends on numerous patient, owner and clinician factors and must be assessed on a case-by-case basis.
Surgical options
If surgery is elected, the patient should be clipped and prepared for an exploratory laparotomy. Intubation and placement of an intravenous catheter to deliver fluids and analgesia during surgery are highly recommended.

Common sites for obstruction include the descending duodenum, approximately 1 to 2cm from the pyloric outflow, and the ileocolic valve, although obstructions can be identified at any point along the small intestine (Harcourt-Brown, 2013).
Once the obstruction is identified, it is carefully milked along the intestine and into the caecum. From here, the intestinal diameter is far greater, and obstructions can be passed through the large intestine without further issues.
This approach is preferred to an enterotomy, as there is no leakage of intestinal contents (Harcourt-Brown, 2013); however, usually the entire small intestine must be exteriorised and exposed, and excessive handling may predispose to adhesion formation.
In some cases, an enterotomy or gastrotomy is required if the pellet cannot be milked to the caecum. However, rabbit gut wall is much thinner and more friable than in canine and feline patients, and stricture formation post-enterotomy is not uncommon, predisposing to repeat obstructions in the future.
Once the obstruction has been milked or removed, the abdomen should be closed, and the gas allowed to pass through the intestine. Post-operatively these patients require close monitoring and frequent pain scoring using the rabbit grimace scale (Miller et al., 2022) (Figure 4).
Liver lobe torsions
Similar clinical signs to those described above, but without evidence of gastric distension, can be observed in rabbits with liver lobe torsions. Affected rabbits are often anorexic and depressed (Lennox, 2013) or have non-specific signs and minimal faecal output (Huynh and Pignon, 2013). While more common in rabbits, a recent case report has also described liver lobe torsion in a guinea pig (Waugh et al., 2021). Common clinicopathological findings include anaemia, with a PCV of under 25 percent, and raised hepatic enzymes (Saunders et al., 2009; Wenger et al., 2009).
Ultrasound is the modality of choice for diagnosis, showing hepatomegaly with heterogeneous liver parenchyma and free abdominal fluid (Redrobe, 2013). In addition, colour Doppler flow can help identify the torsed lobe, which will be lacking in blood flow (Huynh and Pignon, 2013).
Usually, the caudate or right lateral lobe is affected and can be removed via total lobectomy (Szabo et al., 2016). In cases of severe anaemia, blood transfusion should be considered.
Gastrointestinal volvulus
Gastrointestinal volvulus (GDV) is a well-known emergency presentation in canine patients, but it is also reported in guinea pigs (Huynh and Pignon, 2013). Recently, a case of GDV has also been reported in a rabbit (Imrie, 2022).
Often, clinical signs are missed, and the diagnosis in guinea pigs is made during post-mortem examination (DeCubellis and Graham, 2013). However, when present, clinical signs can range from anorexia, lethargy, tachypnoea, an absence of faecal production, cyanosis and cardiovascular shock to sudden death (DeCubellis and Graham, 2013; Edis, 2019). Patients can be presented obtunded, with palpable gastric tympany and hypothermia (Mitchell et al., 2010). It is important to distinguish this condition from bloat – another common condition in which guinea pigs present with gastric tympany.
The classic 'double bubble' seen in cases of GDV in canine patients is not always seen radiographically, and diagnosis of GDV in guinea pigs should not be ruled out based on the absence of this sign
GDV is an emergency presentation that must be identified quickly. The gaseous distension of the stomach causes it to twist on its axis at the mesentery, resulting in compression of the gastric vessels and secondary ischaemia (Edis, 2019). Fermentation of ingesta contributes to further gaseous distension in the stomach that cannot escape as the gastric outflow is also obstructed due to the twisting of the stomach.
Diagnosis is often by radiography, which should be performed following administration of analgesia and sedation if required. Radiographs show severe gaseous distension of the stomach, often taking up 50 percent of the abdominal cavity (Huynh and Pignon, 2013). In some cases, the bowel can be visualised cranial to the stomach (Mitchell et al., 2010) (Figure 5). It is important to note that the classic “double bubble” seen in cases of GDV in canine patients is not always seen radiographically, and diagnosis of GDV in guinea pigs should not be ruled out based on the absence of this sign.


Decompression should be attempted by passing a red rubber tube or feeding tube down the oesophagus and into the stomach (DeCubellis and Graham, 2013). If GDV is present, this will likely be difficult or impossible due to the torsion. In these cases, a percutaneous needle trocar can be attempted to relieve the gas; however, this risks gastric or caecal rupture as well as secondary peritonitis (DeCubellis and Graham, 2013), so should only be attempted if completely necessary. Emergency surgery is indicated to correct the volvulus and relieve the gaseous tympany.
Successful surgical outcomes have been reported, and gastropexy in surgical cases of treatment has also been reported (Edis, 2019). Following surgery, the patient should be considered critical and monitored closely, with close attention paid to rectal temperature.
Conclusion
Identification of acute life-threatening abdominal conditions is important when treating small herbivorous mammals. Clinicians should consider these conditions as differential diagnoses for any small mammal presenting with signs of depression, anorexia or abdominal pain. These conditions must be ruled out before commencing treatment for gastrointestinal stasis in small mammals.
References (click to expand)
Ashton Hollwarth, BSc, BVMS, CertAVP (Zoo Med), ANZCVS (Avian Medicine & Surgery), DipECZM (Avian), MRCVS, studied in Western Australia before moving to the UK after graduating. Following a short time in general practice, she completed her residency in avian medicine and surgery at Great Western Exotics. Ashton currently works exclusively in avian and exotics, and her clinical interests include avian and exotic anaesthesia, parrot behaviour and small mammal surgery. Ashton gained her Certificate of Advanced Veterinary Practice in Zoological Medicine in 2020, became an Advanced Practitioner in Zoological Medicine in 2021 and gained membership by examination to the Australian and New Zealand College of Veterinary Scientists’ Avian Chapter in 2022. She became a diplomat of the European College of Zoological Medicine as a specialist in avian medicine and surgery in 2024.