The male lower urinary tract (LUT) plays a key role in the storage and periodic voiding of urine, and consists of the urinary bladder (UB) and urethra (de Groat, 1993). However, the LUT should be considered with the upper urinary tract (UUT) when investigating lower urinary tract disease (LUTD). For example, consider the impact of ureteral insertion and polyuria and polydipsia (PUPD) on urination pattern. The prostate and testicles are also important, and while strictly part of the urogenital tract, prostatic disease, in particular, can contribute to LUT signs.
This article is designed to help formulate a logical and clinically relevant approach to the LUT, with specific case examples of male dogs with LUTD.
Taking a clinical history
When taking the clinical history of a patient’s urination, it is crucial to understand the full medical history, including any prior or current clinical conditions and medications, as well as its travel/import history. Obtaining the duration of clinical signs together with their change, development and progression or improvement can help to discover associations with any previous interventions or treatments. It is also important to establish whether urination has ever been normal and, if so, when.
What information from a urination history is specific to the urinary tract?
- Changes in the frequency of urination: formulate an understanding of the patient’s baseline urination pattern (eg territorial marking as part of normal behaviour)
- Changes in volume of urination: this may point towards polyuria rather than a LUT problem
- Timing of urination issue: are abnormalities identified throughout the day or at particular times, eg overnight? Is there an association with particular events (eg bitches in heat, excitement, submission, anxiety)?
- Conscious urination issue versus incontinence: note the location of urination (in bed or when lying down) and if there is awareness of urination, such as dribbling while walking
- Changes in posture when urinating: understand what has historically been considered normal for that dog, then review for concurrent alteration in posture or change in its defecation pattern
- Changes in urine appearance: check for changes in colour, such as the presence, absence and timing of haematuria (eg beginning of, throughout or end of stream). Assess clarity: is the urine clear or turbid?
- Evidence of stranguria or dysuria
- Urination stream: what is its strength (eg weaker or pulsatile), and is it variable across the full period, beginning or end of urination?
Physical examination
The importance of a comprehensive history cannot be over-emphasised when refining a dog’s clinical problem and should always be combined with a comprehensive physical examination (Box 1). Failure to differentiate LUT from UUT clinical signs, or the patient with a combination of both, can lead to undertaking diagnostics that do not further elucidate the underlying cause, which can frustrate both owner and veterinary surgeon.
Direct observation of urination or video recordings can be extremely useful for refining the clinical problem where descriptions are challenging to interpret.
Important information obtained from a physical examination
A full physical examination can reveal crucial information when completed appropriately, which involves:
- Bladder palpation: when conducting this exam, you should consider bladder size, whether there is discomfort associated with palpation and the timing of palpation (ie immediately after voiding to determine the completeness of voiding). An ultrasound evaluation may also be useful where palpation proves challenging
- Full examination of penis and prepuce: look for evidence of irritation, excessive licking and self-trauma, mass lesions and discharge. An evaluation of urine scalding and/or wet fur should also be considered
- Rectal examination: an observation of prostatic size, shape, symmetry and any evidence of discomfort should be made alongside local lymph node evaluation. The urethra should be palpated as thickening and sometimes uroliths are palpable
- Testicular palpation: consider size, shape, symmetry and presence of discomfort or pain
- Neurological evaluation: consider if there are upper or lower motor neuron issues
- Evaluate for spinal pain and discomfort, particularly in lumbar/lumbosacral region
- Consideration for orthopaedic issues that could be altering ability to posture to urinate
Identifying lower urinary tract clinical signs
Changes in a patient’s urination pattern are the hallmark of LUTD, but no single feature is pathognomonic to any given clinical condition. Stranguria, dysuria, pollakiuria and haematuria are common features, with urinary incontinence (UI) also included as a LUT issue (Westropp, 2008; Hall et al., 2019). However, UI must be carefully differentiated from other urination abnormalities such as nocturia, polyuria or inappropriate behavioural urination, particularly marking behaviour, incomplete housetraining and urination associated with anxiety, submission and excitation. This is because the term “urinary incontinence” is often inappropriately applied by clients to any abnormal urination, especially when occurring inside.
LUTD
The presence or a combination of stranguria, dysuria, haematuria and pollakiuria indicates either structural or functional change within the LUT. In the male dog, this should always prompt consideration for prostatic disease (Table 1).
Condition | Comments | Frequency | |
---|---|---|---|
Lower urinary tract disease | Sporadic bacterial cystitis | Less common in male dogs Always consider possible prostatic involvement in entire male dogs |
Occasional to common |
Urolithiasis (varied) | Consider the location (cystoliths versus urethroliths) Full assessment of upper and lower urinary tract warranted |
Common | |
Neoplasia (bladder/urethra) | Transitional cell carcinoma (TCC) Mesenchymal neoplasia also possible (eg leiomyosarcoma, haemangiosarcoma) or lymphoma |
Occasional to common (TCC) Rare (other neoplastic diseases of the bladder) |
|
Polypoid cystitis | Often secondary to chronic bacterial cystitis | Uncommon | |
Proliferative urethritis | Sterile inflammatory condition often secondary to chronic infections Requires histopathological differentiation from neoplastic diseases affecting the urethra |
Rare | |
Urethral stricture | Often secondary to inciting event, eg urethrolith or repeat urinary catheterisation for other conditions | Uncommon | |
Urethral obstruction | Consider predisposing reasons such as cystolithiasis (known stone former, breed predisposition, portosystemic shunt, etc) Proliferative lesions (eg neoplasia) or extramural compression (eg prostatomegaly) |
Common | |
Prostatic disease | Benign prostatic hyperplasia | Common in older entire dogs Symmetrical and non-painful on prostatic palpation |
Common |
Prostatic neoplasia | Prostatic carcinoma, prostatic adenocarcinoma, prostatic urothelial cell carcinoma, prostatic squamous cell carcinoma, mesenchymal tumours also possible (eg fibrosarcoma, leiomyosarcoma, haemangiosarcoma) Prostatic carcinoma typically presents in male neutered dogs |
Uncommon to occasional | |
Prostatitis | Acute and chronic prostatitis presentation possible Enlarged but often uncomfortable prostate on palpation |
Commonly associated with sporadic bacterial cystitis | |
Prostatic abscessation | Enlarged, painful and often asymmetric prostate on palpation | Rare | |
Prostatic pseudocyst | Enlarged and often asymmetric on palpation | Rare | |
Urinary incontinence (disease of abnormal storage) | Urinary sphincter mechanism incompetence | Common in female neutered dogs, rare in males Dogs can void urine normally |
Common |
Lower motor neuron bladder | Incontinence associated with spinal cord lesions in the S1 to S2 region, weakening striated muscle sphincter | Common in patients with spinal disease | |
Detrusor hyperreflexia | Poorly characterised in dogs despite being the most common form of UI in humans | Rare | |
Ureterocele | Cystic dilation of the proximal ureter Present with UI |
Rare | |
Urinary incontinence (disease of emptying) | Detrusor atony | Consequence of bladder overdistention | Rare – need to address the underlying aetiology |
Upper motor neuron bladder | Consequence of severe spinal lesion, eg T3 to L3 myelopathy | Common in patients with spinal disease | |
Detrusor urethral dyssynergy (reflex dyssynergia) | Commonly affects middle-aged large and giant breeds Diagnosis of exclusion |
Occasional to common |
Haematuria must be differentiated from other forms of pigmenturia as specific information on the timing of haematuria can be informative. For example, haematuria to the end of urination is often attributed to bleeding from the prostate. Note that while haematuria most often indicates bleeding from the LUT, haematuria originating from the UUT is possible (eg idiopathic renal haematuria, nephrolithiasis) and systemic causes of bleeding should be excluded, although neither would typically result in concurrent LUT signs.
The timing of alterations in the urination stream may also be informative. For example, where there is a constant poor stream of urine, a consistently present structural change (eg urethrolith or mass lesion) is indicated. Alternatively, initially normal urination with subsequent weakening or flow that becomes pulsatile or stops is more indicative of prostatic disease or rarer functional disorders (eg reflex dyssynergia).
Non-specific clinical signs
Clinical signs including pain, lethargy, dyschezia and weight loss are not specific to LUTD but may be of clinical importance when identified together with more specific LUT signs. Examples include prostatic enlargement impacting both urination and defecation and weight loss as a manifestation of neoplastic disease. Spinal or orthopaedic pain may also alter urination pattern due to altered mobility. It is important to remain vigilant for infectious disease processes that may impact the LUT particularly entire male dogs with an import, travel or reproductive history (eg Brucella canis).
Urinary incontinence
UI is rare in male dogs because of their urethral length. While a young dog presenting with UI may prompt concern for congenital conditions (eg ureteral ectopia), other clinical signs also suggest this diagnosis (eg recurrent bacterial cystitis at a young age).
The role the prostate plays in maintaining continence in male dogs should not be underestimated, for example with UI identified after castration in older male dogs. Dogs with true UI will typically pass urine of moderate to large volume without awareness while asleep or relaxed and may dribble urine unconsciously while ambulatory. However, such dogs may also urinate normally during intervening periods (eg while on walks) depending on the severity of UI and residual bladder urine volume. Typically, they do not show other LUT signs. Clinical signs of UI can, however, be exacerbated by conditions resulting in PUPD or concurrent LUT disease (eg bacterial cystitis). Once confirmed, the origin of UI must be further elucidated.
“Dribbling urine”
The presenting problem of “dribbling urine” can be a clinical challenge. It is recommended to either witness this first-hand or to obtain a history that is very clear before pursuing diagnostics. Often this presenting complaint will be a manifestation of UI; however, it can be an isolated finding, for example in dogs that develop overflow incontinence secondary to an upper motor neuron bladder, or it can be associated with LUT signs where overflow becomes the consequence of partial obstruction. This represents a situation where careful assessment of bladder size can be very important both before and after urination.
Refining the clinical problem of lower urinary tract disease
Having localised the urinary problem to either LUTD or UI, consideration should be given to likely differentials that require exploration through diagnostic investigations. Here attention should be paid to signalment, such as age, breed and neuter status. The patient’s past and present medical history should be fully considered, including both the possibility of concurrent disease conditions and medications administered. Some common examples of these situations are provided in Table 2, although many more exist.
Signalment | Influence on LUTD |
---|---|
Age | UI identified in a young dog should raise concerns of ureteral ectopia, while benign prostatic hyperplasia develops with age. Differentials for middle-aged dogs are varied |
Breed | Scottish Terriers exhibit an 18-fold increased risk of developing transitional cell carcinomas compared to mixed-breed dogs (Knapp et al., 2000). Golden Retrievers, Labrador Retrievers and Entlebucher Mountain Dogs are breeds with a confirmed increased risk of urinary ectopia (Fritsche et al., 2014). There are many well-recognised breed predispositions for urolithiasis; eg Shih Tzus and Lhasa Apsos are associated with calcium oxalate uroliths (Lekcharoensuk et al., 2000) |
Neuter status | Prostatic neoplasia is more common in the neutered male (Bryan et al., 2007). Cysteine uroliths can be androgen-dependent in certain breeds of dog (Florey et al., 2017; Kopency et al., 2021) |
Medications | Cyclophosphamide-induced sterile haemorrhagic cystitis may result in haematuria and pollakiuria. Allopurinol is a xanthine oxidase inhibitor used to treat leishmaniosis which may increase the risk of xanthine urolithiasis (Bartges et al., 1999) |
Concurrent disease conditions | Alteration in calcium homeostasis (eg primary hyperparathyroidism) increases the risk for calcium-containing uroliths, and the presence of altered hepatic function (eg portosystemic shunt) increases the risk for urate urolithiasis. Medical conditions resulting in dilute urine provide a less hostile environment for bacteria and, therefore, sporadic bacterial cystitis |
Diagnostic investigation
LUTD in the male dog is varied. A thorough diagnostic investigation (Table 3) is required for a definitive diagnosis. Medical, surgical or a combination of therapies may be required depending on the nature of the disease. (An exhaustive list of therapies for common LUTDs is, however, beyond the scope of this article.)
Diagnostic | Test | Comment |
---|---|---|
Minimum database | Complete blood count | |
Biochemistry | ||
Electrolytes | ||
Urinalysis | Sample collection | Free catch versus voided, cystocentesis or sterile catheterisation |
Urine specific gravity | Check patient factors, such as hydration status, biochemistry, electrolyte values and hyperglycaemia | |
Dipstick | ||
Sediment analysis | Crystalluria, bacteriuria, pyuria and haematuria | |
Abdominal ultrasonography | Focal urogenital if primary LUTD, complete abdominal if concern for secondary LUTD | |
Abdominal radiography | Plain radiographs | Visualises radio-opaque uroliths |
Retrograde contrast study | Visualises radiolucent uroliths and urethral strictures/tears | |
Double contrast pneumocystogram | Visualises radiolucent cystoliths and filling defects in the bladder | |
Computed tomography | Contrast is enhanced and can visualise congenital defects. Can detect urinary ectopia, but it cannot always be identified if disease is intramural | |
Cystoscopy | Direct visualisation, but needs specialised equipment and procedure | |
Prostatic sampling | Prostatic wash | |
Cytology and culture | Fine needle aspirate, shape, symmetry, and presence of discomfort/pain |
Case studies
1) Urethral disease
A four-and-a-half-year-old neutered male Golden Retriever presented with a one-week history of progressive stranguria at the clinic. The patient had received meloxicam 48 hours prior to referral. Physical and external urogenital tract examinations were unremarkable.
Haematology was also unremarkable, but biochemical analysis and urinalysis confirmed severe renal azotaemia (Figure 1). Abdominal ultrasonography failed to identify an underlying cause for the patient’s profound stranguria, and a contrast enhanced retrograde urethrocystogram was performed. This was unremarkable, and the patient was diagnosed with reflex dyssynergia (Figure 2).



The renal azotaemia and acute kidney injury were thought to be secondary to meloxicam therapy and urethral obstruction. Meloxicam was discontinued, and the patient was hospitalised with intravenous fluid therapy. An indwelling urinary catheter was placed for in-hospital management while tamsulosin and diazepam therapy were started. An immediate response to therapy was noted, and the patient recovered fully. Medical management was discontinued nine weeks after presentation.
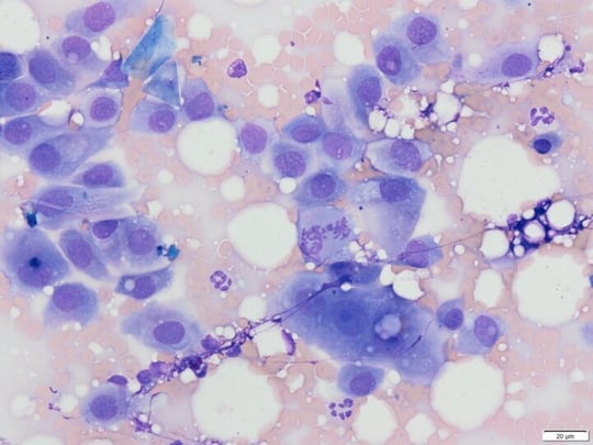
2) Prostatic disease

This case involved a 12-year-old neutered male Miniature Schnauzer with a six-month history of progressive lethargy and weight loss despite a good appetite, presenting with an acute onset of progressive stranguria. Physical examination revealed poor body and muscle condition; firm and irregular prostatomegaly was appreciated following digital rectal examination.
Haematology, biochemistry and urinalysis were unremarkable. Abdominal ultrasonography identified a large heterogenous prostate and marked local lymphadenopathy, raising concern of metastatic neoplasia. Fine needle aspiration was performed and was consistent with prostatic carcinoma (Figure 3). The patient was euthanised due to progressive disease and clinical signs.
3) Urolithiasis

A five-year-old neutered male Shih Tzu presented with a one-month history of haematuria, non-responsive to non-steroidal anti-inflammatory and antibiotic therapy. Physical and external urogenital examinations were unremarkable.
Haematology, biochemistry and urinalysis were unremarkable. However, abdominal radiography revealed a moderately sized, round, smoothly marginated mineral opacity in the urinary bladder on abdominal radiography, consistent with a cystolith (Figure 4). This was removed via minimally invasive cystotomy, and analysis confirmed this to be calcium oxalate.