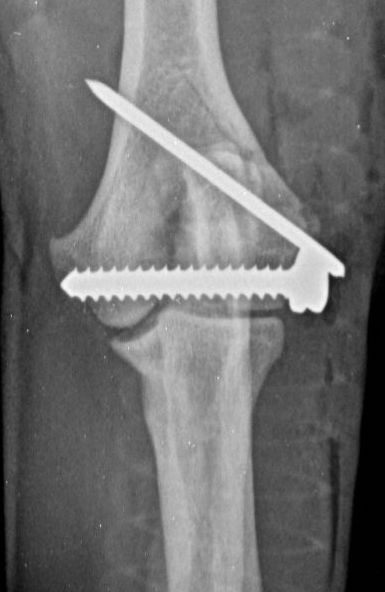
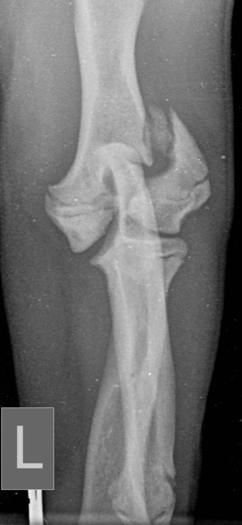
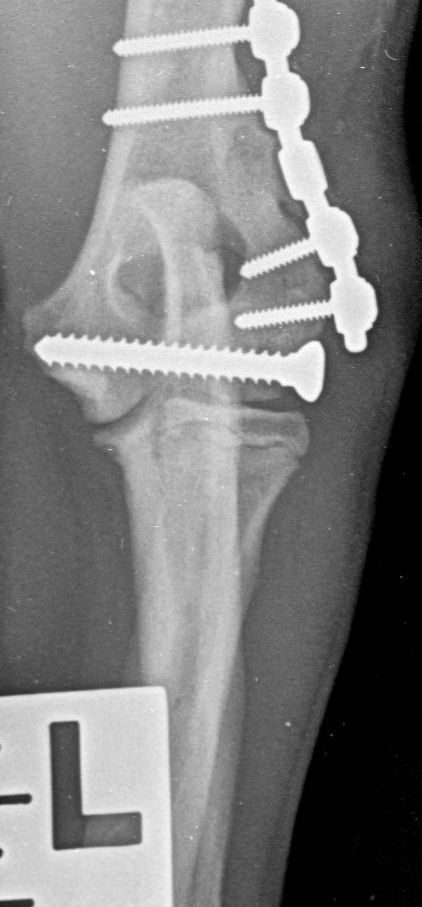
Traditionally, humeral unicondylar (lateral or medial) fractures have been managed with internal fixation using a transcondylar bone screw and an anti-rotational device. This is generally a Kirschner wire (K-wire) or Steinmann pin (Figure 1), which is placed across the epicondylar ridge component of the fracture (Bojrab, 1975; Denny and Butterworth, 2000; Jackson, 1983; Olmstead, 1993). However, reports of complications relating to mechanical failure due to implant migration in a series of patients varying widely in age and breed concluded that using a supracondylar K-wire is more likely to cause major complications than using an epicondylar bone plate (Perry et al., 2015; Sanchez Villamil et al., 2019). This conclusion was endorsed by an in vitro study that showed that stiffness, yield load and load to failure are all greater when bone plates, rather than K-wires, are used in conjunction with a transcondylar bone screw to stabilise humeral unicondylar fractures (Coggleshall et al., 2017).


If such a fissure was present prior to the fracture then the possibility exists that it might persist post-treatment, potentially leading to implant failure
In recent years, further concerns have arisen over the possibility of humeral intracondylar fissures (HIFs) being a predisposing factor in the pathogenesis of these fractures. Some patients show a prodromal lameness for days or weeks before the condyle fractures, while others show the presence of intracondylar fissures in the contralateral limb. Although the latter does not prove a fissure was present in the now-fractured condyle, it does add to the suspicion that it might have been. If such a fissure was present prior to the fracture then the possibility exists that it might persist post-treatment, potentially leading to implant failure, not in the short term during the healing process but in the long term as a fatigue failure. This possibility has led to various strategies for managing these injuries.
One such strategy is to use a transcondylar bone screw that has the greatest diameter that can be placed in the condyle. This is because a bone screw’s area moment of inertia (AMI), which relates to a structure’s resistance to failure through repetitive stress, is proportional to its radius raised to the power of four. Therefore, a small increase in radius causes a large increase in AMI. An epicondylar plate might also provide better protection from repetitive stress for the transcondylar bone screw than an epicondylar K-wire/pin. It must be remembered, though, that the concerns over a persistent intracondylar fissure, unless prodromal lameness has been recorded, relate mainly to Spaniel breeds, although there is now some evidence that French Bulldogs should be included in this cohort of patients.
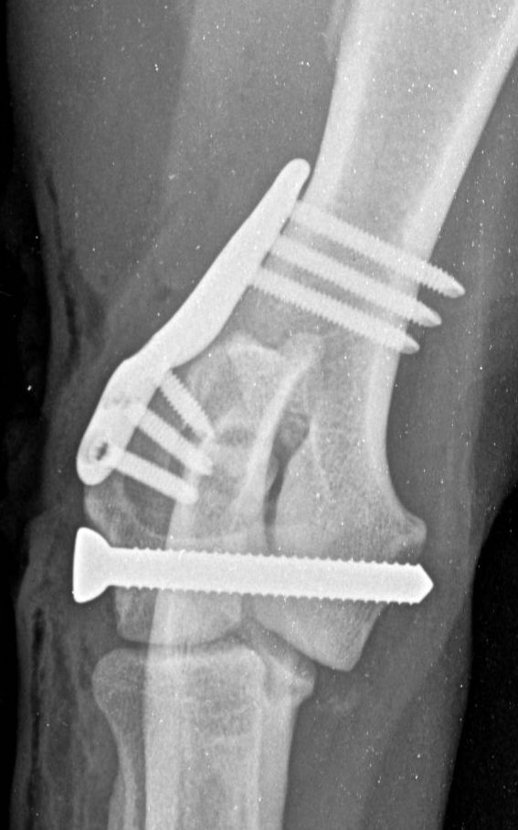
These concerns have led to recommendations being altered over the past decade or so, with veterinarians now using bone plates, instead of K-wires, as an adjunct to a transcondylar screw when managing humeral unicondylar fractures (Figure 2), even in puppies (Figure 3) (Clark, 2016; Kvale et al., 2022). However, the basis on which this conclusion for puppies was reached appears to have been flawed because it assumed that what had been shown to be the case for adults would also apply to immature patients. As the conclusion was felt to conflict with the author’s experience of treating such patients, a retrospective study was undertaken to evaluate complications and outcomes in immature dogs treated for humeral unicondylar fractures at one centre over a 10-year period (Butterworth, 2022). The findings of this study are summarised in this article.




Study population
Between March 2011 and August 2021 at Weighbridge Referral Centre, 52 consecutive humeral unicondylar fractures were treated in 51 puppies aged three to six months (inclusive). One puppy was excluded from the study for not meeting the necessary parameters.
Two of these patients had shown a prodromal lameness. Of the 50 dogs in the study, 25 (50 percent) were French Bulldogs, and the only other breed exceeding two cases was the Springer Spaniel (4/50). Ages ranged from 11 to 30 weeks (median: 16 weeks). Body weight ranged from 1.5 to 16.9kg (median: 5.5kg). Twenty-four of the puppies were male and 26 were female.
Treatment
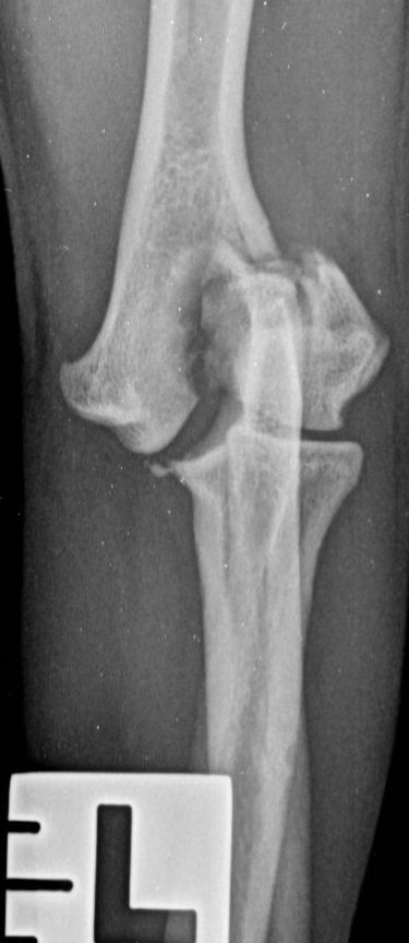
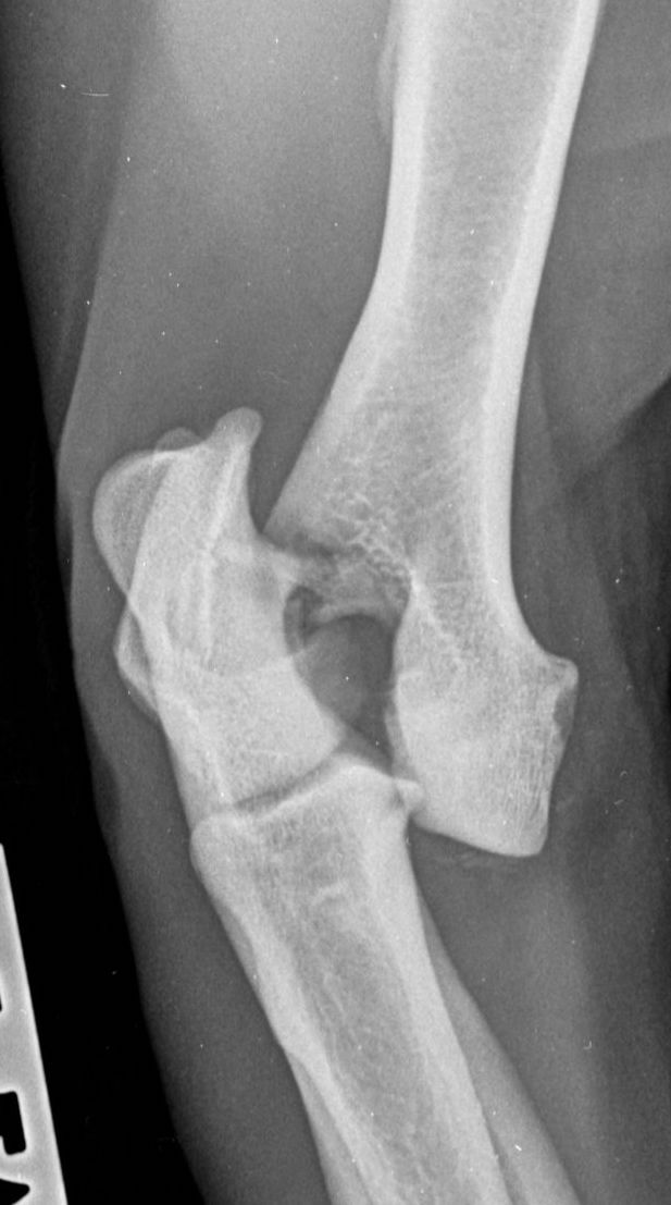
Of the 52 humeral unicondylar fractures studied, 43 were lateral and 9 were medial.
Documentation of the presence of a humeral intracondylar fissure in the contralateral limb was compromised by differentiation from the normal incomplete ossification that results from patient age. A convincing HIF, detected radiographically, was present in 4 of the 49 dogs with unilateral fractures and suspected in a further five.
At no time during this period in the clinic was an epicondylar plate used to treat any puppies in this age group with a humeral unicondylar fracture
Fifty-one of these fractures were treated using a transcondylar bone screw and epicondylar K-wire. In one of the puppies with a medial condylar fracture, an epicondylar screw was used instead of a K-wire, so this patient was eliminated from the study. The condylar fragment was drilled directly in 20 fractures and retrogradely in 31. The transcondylar bone screw was placed in lagged fashion for 23 fractures, using washers under the screw head in seven, and as a positional screw in 28 fractures. At no time during this period in the clinic was an epicondylar plate used to treat any puppies in this age group with a humeral unicondylar fracture. Furthermore, no patients were treated for a convincing or suspected contralateral HIF.
Results
Only 29 dogs (30 fractures) returned for a follow-up examination at 31 to 60 days (median: 42 days), but all these fractures showed complete radiographic union (Figure 4). No minor complications were recorded in any of these patients. Four (13 percent) experienced a major complication: one was noted during the healing phase and three during the follow-up examination. All involved implant migration and all were successfully managed by implant removal or replacement. The short-term outcome was recorded as excellent in 23/30 fractures (77 percent) and good in 7/30 (23 percent).
As of the time of writing this article, none of these 29 dogs have returned to the clinic for treatment of fracture-related complications or treatment of a similar fracture in the contralateral limb. Also, we have not been approached by any other clinic seeking information that might suggest any of these patients have been seen elsewhere for such reasons.


Conclusions
Using a transcondylar bone screw with an epicondylar K-wire to manage humeral unicondylar fractures in puppies less than seven months old gave good or excellent results in all 29 consecutive patients with documented follow-up
In this study, the results of using a transcondylar bone screw with an epicondylar K-wire to manage humeral unicondylar fractures in puppies less than seven months old gave good or excellent results in all 30 consecutive patients with documented follow-up (Butterworth, 2022). A major complication rate of 13 percent was not only comparable to that seen when a similar population was treated using epicondylar plates (11 percent (Kvale et al., 2022)) but also better than those seen in populations including adult dogs treated for such fractures using a transcondylar bone screw and epicondylar K-wire/pin (28 percent (Perry et al., 2015) and 32 percent (Sanchez Villamil et al., 2019)).
Although the numbers in the study outlined above were small, and computed tomography (CT) was not used to evaluate the presence of a contralateral HIF, the fact that no patients returned for treatment of fractures of the contralateral humerus, or were known to have been presented elsewhere for such treatment, suggests that there may be no need to treat a contralateral HIF in puppies. This is endorsed by the findings of a recent study involving a cohort of French Bulldogs less than 12 months of age treated for humeral condylar fractures where CT was performed on the contralateral limb (Hutchings and Rutherford, 2024). Of the 58 patients studied, 27 had HIFs. Twelve of the 27 underwent follow-up CT on these elbows with 11 showing resolution of the HIF. The authors concluded that contralateral HIFs are common in skeletally immature French Bulldogs suffering humeral condylar fractures but the majority of these will resolve within the follow-up period. From this study, it was concluded that prophylactic treatment of HIFs in puppies should, perhaps, only be considered if they are found (via CT) to have persisted at the time of follow-up examination.
Contralateral HIFs are common in skeletally immature French Bulldogs suffering humeral condylar fractures but the majority of these will resolve within the follow-up period
Therefore, if the current trend towards the use of epicondylar plates, rather than K-wires/pins, in combination with a transcondylar bone screw to manage humeral unicondylar fractures in adults is also adopted for skeletally immature patients, we might well be throwing the puppy out with the bath water. The exception might be when the epicondylar ridge shows comminution, which means that a single K-wire might not provide enough stability, or when the patient shows prodromal lameness (both of which were noted in the patient related to Figure 3).
References (click to expand)
Bojrab, M. J. | 1975 | Current Techniques in Small Animal Surgery. Lea & Febiger, Philadelphia, pp. 509-522 |
Butterworth, S. J. | 2022 | Humeral unicondylar fractures in immature dogs treated using a bone screw and Kirschner wire. Veterinary Record, 191, e2176 |
Clark, S. | 2016 | The humerus. In: Gemmill, T. J. and Clements, D. N. (eds) BSAVA Manual of Canine and Feline Fracture Repair and Management. British Small Animal Veterinary Association, Gloucester, pp. 198-226 |
Coggleshall, J. D., Lewis, D. D., Iorgulescu, A., Kim, S. E., Palm, L. S. and Pozzi, A. | 2017 | Adjunct fixation with a Kirschner wire or a plate for lateral unicondylar humeral fracture stabilization. Veterinary Surgeon, 46, 933-941 |
Denny, H. R. and Butterworth, S. J. | 2000 | The humerus. In: Denny, H. R. and Butterworth, S. J. (eds) A Guide to Canine and Feline Orthopaedic Surgery, 4th edn. Blackwell Science, Oxford, pp. 341-362 |
Hutchings, V. C. and Rutherford, S. | 2024 | Computed tomographic re-evaluation of skeletally immature French Bulldogs previously diagnosed with humeral intracondylar fissure: 12 cases (2018-2022). Journal of Small Animal Practice, 65, 817-821 |
Jackson, D. A. | 1983 | Fractures of the humerus. In: Bojrab, M. J., Crane, S. W. and Arnoczky, S. P. (eds) Current Techniques in Small Animal Surgery, 2nd edn. Lea & Febiger, Philadelphia, pp. 674-687 |
Kvale, E., Kalmukov, I., Grassato, L., Kalff, S. and Solano, M. | 2022 | Epicondylar plate fixation of humeral condylar fractures in immature French Bulldogs: 45 cases (2014-2020). Journal of Small Animal Practice, 63, 532-541 |
Olmstead, M. L. | 1993 | Fractures of the humerus. In: Slatter, D. (ed) Textbook of Small Animal Surgery, 2nd edn. WB Saunders, Philadelphia, pp. 1716-1728 |
Perry, K. L., Bruce, M., Woods, S., Davies, C., Heaps, L. A. and Arthurs, G. L. | 2015 | Effect of fixation method on postoperative complication rates after surgical stabilization of lateral humeral condylar fractures in dogs. Veterinary Surgeon, 44, 246-255 |
Sanchez Villamil, C., Phillips, A. S. J., Pegram, C. L., O’Neill, D. G. and Meeson, R. L. | 2019 | Impact of breed on canine humeral condylar fracture configuration, surgical management and outcome. Veterinary Surgeon, 49, 639-647 |