Patent ductus arteriosus (PDA) is a common form of congenital heart disease in dogs (Schrope, 2015; Oliveira et al., 2011). Failure to identify and close a PDA can result in premature death, with most affected dogs dying before one year of age (Eyster et al., 1976). In those surviving to adulthood, late PDA closure is still associated with a favourable outcome (Van Israël et al., 2003; Boutet et al., 2017).
PDA pathophysiology
The ductus arteriosus (DA) forms part of the normal foetal circulation. It allows oxygenated maternal blood to bypass the non-functional foetal lungs. As oxygen tension increases at birth, smooth muscle in the DA should constrict, resulting in duct closure. In some dogs, however, there is a deficit in the amount of smooth muscle, which results in ineffective closure and retained patency (Buchanan, 2001).
If the DA remains patent after birth, increased systemic and decreased pulmonary pressures will result in continuous left-to-right shunting and pulmonary over-circulation. This can lead to left-sided cardiomegaly as a portion of the blood is once again continuously “short-circuiting” between the aorta, pulmonary artery, pulmonary capillaries, pulmonary veins, left atrium and left ventricle. Increased intracardiac pressures in the left atrium can result in congestion of the attaching pulmonary veins and risk of pulmonary oedema (left-sided congestive heart failure).
If the ductus arteriosus remains patent after birth, increased systemic and decreased pulmonary pressures will result in continuous left-to-right shunting and pulmonary over-circulation
For some patients, pulmonary arterial over-circulation can result in vascular remodelling and the development of pulmonary hypertension. If the pressure in the pulmonary system increases above that in the aorta, a reversed flow through the PDA will result. This is termed a “right-to-left” shunt, and as a portion of the blood no longer reaches the lungs for oxygenation, it results in hypoxaemia.
Ductus morphology
Various forms of canine ductal morphology have been described. Initially, these were based on existing human classification (Schneider et al., 2003) but were later adapted to describe the most commonly encountered ductal morphologies in dogs (Miller et al., 2006).
Three types were distinguished by the degree of ductal tapering and the presence, absence or location of abrupt ductal narrowing:
- Type I gradually tapers from the aorta towards the point of pulmonary insertion, with no abrupt alteration in ductal diameter
- Type II displays an abrupt distal narrowing of more than 50 percent in the ductal diameter. This type is sub-characterised based on the morphology of the proximal portion of the PDA, with type IIa retaining a constant dimension and type IIb displaying a conical ductal shape before abruptly narrowing at the point of pulmonary insertion
- Type III is characterised by a tubular appearance without substantial (less than 20 percent) attenuation in ductal diameter
Two further sub-categories were added in 2018 (Doocy et al., 2018). Type IV describes a ductus with multiple narrowings at various levels, and type V describes all remaining morphologies that do not fit into types I to IV.
Clinical signs and diagnosis
Uncomplicated PDA
An uncomplicated PDA results in a characteristic continuous heart murmur, most audible at the left heart base or slightly cranial to this. The murmur is continuous because blood continuously shunts from the higher-pressure aorta through the ductus arteriosus and into the lower-pressure pulmonary artery throughout the cardiac cycle. This kind of systemic to pulmonary shunt is often referred to as a “left-to-right” shunt.
Because of diastolic runoff into the pulmonary artery, dogs with a PDA experience a wider “pulse pressure”or difference between systolic and diastolic pressure. This results in hyperdynamic or “bounding” pulses on physical examination.
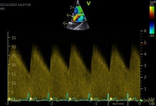
Due to its characteristic murmur, the index of suspicion for an uncomplicated (“left-to-right”) PDA may be high from physical exam findings alone; however, a definitive diagnosis requires echocardiography. The ductus can typically be visualised entering the pulmonary artery (Figure 1), and continuous flow through the duct is apparent on spectral Doppler imaging (Figure 2). Left-sided cardiomegaly may also be apparent.


Reversed PDA
Clinical signs of a “right-to-left” or reversed PDA (rPDA) are variable, but a recent review indicated hindlimb collapse was the most common presenting sign (Greet et al., 2021), likely secondary to differential cyanosis. The cranial branches of the aorta, which supply the head and forelimbs, occur proximal to the ductus. These, therefore, receive adequately oxygenated blood, whereas the caudal half of the body receives the portion of blood that has bypassed the lungs. In cases of rPDA, there may also be evidence of pulmonary hypertension (eg right ventricular concentric hypertrophy).
With an rPDA, there is a loss of the characteristic continuous heart murmur. The murmur initially only becomes systolic, because pulmonary pressures first equate to those in the aorta during diastole, resulting in an absence of flow during this period. However, the systolic murmur may finally disappear as pulmonary pressure equals or rises above that in the aorta during systole, resulting in an absence of flow – termed a “balanced” shunt – or reversal of flow to “right-to-left”, respectively.
Confirmation of an rPDA usually requires a “bubble study” that involves the injection of agitated saline (as a positive contrast medium) into a peripheral vein
Confirmation of an rPDA usually requires a “bubble study” that involves the injection of agitated saline (as a positive contrast medium) into a peripheral vein. In the normal heart, the contrast will be visible on the echo in the right-sided cardiac chambers but will then disperse in the pulmonary circulation, with no return of contrast to the left-sided chambers. An intracardiac shunt (eg atrial septal defect) will allow some contrast to cross the septum, bypassing the lungs, which will, therefore, be visible on the echo in the left-sided chambers. If an intracardiac shunt is excluded, but contrast is visible in the abdominal aorta on ultrasound, this confirms the presence of an extra-cardiac shunt, most typically an rPDA.
Treatment and interventions
For cases with pulmonary hypertension (PH), if left-to-right PDA flow can be re-established through treatment for PH, PDA closure is still feasible (Seibert et al., 2010).

Occlusion of PDA can be achieved by surgical thoracotomy with extra luminal ligation or via minimally invasive techniques. Interventional occlusion of PDA using a specialised device called an Amplatz Canine Ductal Occluder or “ACDO” (Figure 3) has been well described in veterinary medicine (Gordon et al., 2010).
Interventional closure of PDA is desirable due to the reduced morbidity when compared to surgical thoracotomy. A recent clinical audit on interventional PDA closure (performed in 339 dogs across five experienced sites) indicated a low complication rate of 4.1 percent and a procedure-related mortality of 0.6 percent (Martin et al., 2022).
Interventional closure of PDA is desirable due to the reduced morbidity when compared to surgical thoracotomy
Interventional occlusion of PDA

Step one: Vascular access is obtained via a surgical cut down to the right femoral artery, with the placement of a vascular introducer in the artery via a modified Seldinger technique. A pigtail catheter is then advanced to the level of the PDA under fluoroscopic guidance, and a bolus of radiopaque contrast is given. This produces an angiographic image of the ductus (Figure 4).
Step two: The minimal ductal diameter (MDD) describes the narrowest point where the PDA enters the pulmonary artery. It is measured via transthoracic echocardiography, transoesophageal echocardiography and/or angiographic study. This allows the selection of an appropriately sized ACDO device, in which the device “waist” is 1.5 to 2 times the measured MDD (yellow callipers in Figure 4).
Step three: A delivery sheath is positioned across the PDA into the pulmonary artery, and the ACDO device is inserted through the sheath. The distal disc of the ACDO is exposed before the sheath and ACDO device are then retracted together until the distal disc meets the pulmonary opening of the PDA (Figure 5). The ACDO device is held in place while the delivery sheath is retracted, deploying the waist of the device into the MDD of the PDA and the proximal disc within the ductal ampulla (Figure 6). Gentle to-and-fro manipulation of the device delivery cable is applied to ensure correct positioning.
Step four: A waiting period of 5 to 10 minutes is typically allowed for haemostasis in the ductus. Then the device is released from the end of the delivery cable by clockwise rotation of the wire. A post-release angiogram can be performed, which typically indicates complete occlusion of the PDA (Figure 7). A small volume of residual flow is not considered abnormal and is likely to fully occlude in the coming hours or days.



Complications
In some dogs, small femoral arterial size prohibits the placement of the vascular sheath required to deliver an appropriately sized ACDO device.
Alternative techniques using a transvenous approach have been described, which may overcome this limitation (Blossom et al., 2010; Hildebrandt et al., 2022). For a transvenous approach, the ductus is crossed in a retrograde manner from the pulmonary arterial side into the descending aorta.
For a transvenous approach, the ductus is crossed in a retrograde manner from the pulmonary arterial side into the descending aorta
Alternative devices to the ACDO may also be used, with the Amplatzer Vascular Plug recently gaining popularity (Hildebrandt et al., 2022; Hulsman et al., 2021).
Conclusion
In summary, the presence of a continuous heart murmur at the left heart base, together with hyperdynamic femoral pulses, should raise suspicion of an underlying PDA. Prompt diagnosis and subsequent PDA occlusion are advised and are associated with an excellent long-term outcome (Saunders et al., 2014).