
Ultrasound is the ideal imaging modality for pregnancy confirmation in small animals. Like all ultrasound specialities, however, its success depends heavily upon the skill and experience of the operator. There is a misconception among some that reproductive scanning is “easy”, and a newly qualified vet can just be handed a transducer and expected to “pick it up” automatically.
This article summarises the benefits of ultrasound, when we should scan and the equipment we need. It goes on to discuss the key elements of the scanning method before outlining the interpretation of the images obtained. The specific considerations for small mammals, including ultrasonic safety, will also be tackled.
Why should I use ultrasound?
Ultrasound is ideal for canine and feline pregnancy scanning as it requires no sedation, rarely any shaving and, unlike X-ray (a popular method of pregnancy confirmation in small animals in the United States), no radiation is involved. It can be performed at relatively early stages of gestation, and as images are generated and displayed in real-time, it can be used to visualise heartbeats and foetal movement.
When should I scan?
Pregnancy can be unequivocally confirmed using ultrasound from 30 days post-mating or post-insemination. The actual gestational age may be younger than this, but sticking to 30 days post-mating will reduce confusion among pet owners.
Any mistake by the pet owner regarding ovulation date or even natural resorption processes can leave you vulnerable to being incorrectly blamed for 'getting it wrong'
While it is possible to scan much earlier in the pregnancy, particularly with a higher-end ultrasound machine, any mistake by the pet owner regarding ovulation date or even natural resorption processes can leave you vulnerable to being incorrectly blamed for “getting it wrong”.
What equipment and settings should I use?
A microconvex probe is the ideal transducer for cats and almost all breeds of dog.
You should always try to scan at the highest frequency possible for your patient to obtain higher quality, more detailed images. As a general rule, the highest frequencies are more appropriate for the smallest patients, with larger patients requiring lower frequencies to obtain sufficient penetration. However, it’s always worth experimenting because some large patients can be surprisingly echogenic (and vice versa).
If your ultrasound machine has an obstetrics or reproductive mode, scanning in this mode will, generally, grant you much easier access to gestational age calculation packages.
Ideally, in the modern day, you will use an ultrasound machine that saves video clips (“cine loops”), not just still images. Some ultrasound machines, like the Apogee 1000 Lite, allow you to record continuously as you scan. Taking plenty of clips evidences your findings and can be a fantastic marketing tool if you can display these online for your clients, who will readily share them with friends.
Scanning method
Begin at the bladder
Early pregnancies tend to be located very close to the bladder, making it an excellent starting point for every scan. The movements required to locate gestation sacs around the 30-day mark are small; you rarely need to move the footprint of the probe along the skin to locate gestation sacs, as they can be found by tilting the probe – imagine it as a searchlight.
Optimise your image
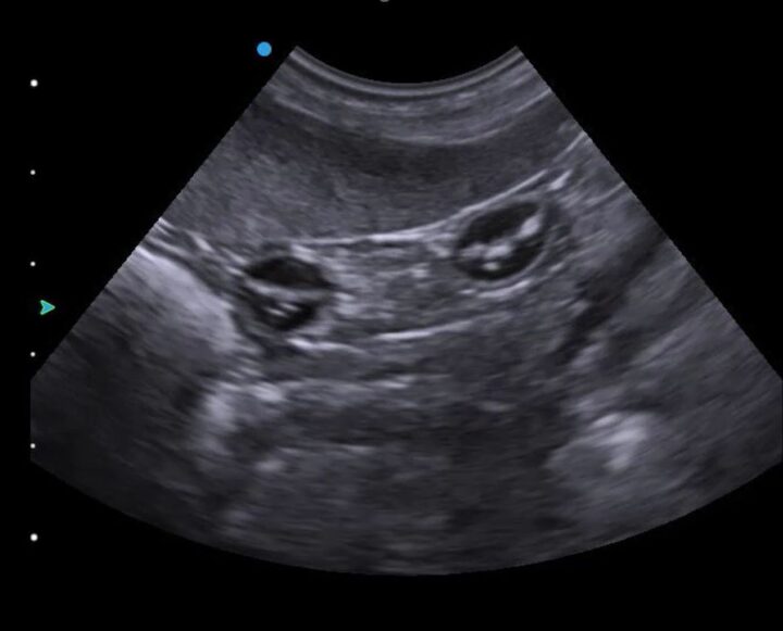
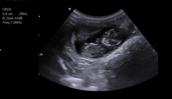
You will likely begin with your depth on its default setting or increased for larger breeds of dog. Once you find a gestation sac (Figure 1), you should optimise your image by reducing your depth and ensuring your focal point is at the level of the foetus. This will allow you to confirm the presence of a heartbeat.

Intestines or gestation sacs? Manipulating the imaging plane

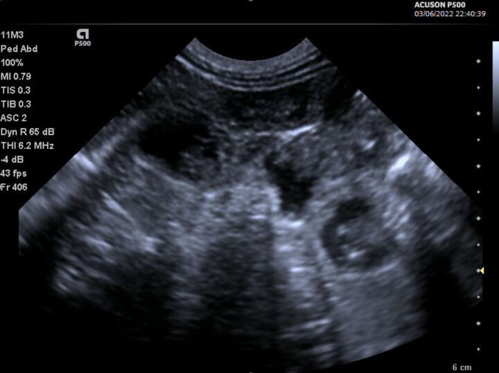
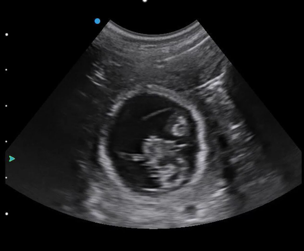
Once you have identified and looked around the bladder and as you begin to move your transducer cranially, you will encounter either more gestation sacs or the intestines (Figure 2) in the “normal” bitch or queen. Intestines are one of the great pitfalls of pregnancy scanning and are mistaken for gestation sacs more often than you might care to believe. The key is to rotate your transducer 90 degrees to confirm whether the circular structure you are seeing is indeed spherical (ie an early gestation sac).
If you are an experienced user of ultrasound, this will be easy and intuitive. But if you are new to ultrasound, this is a skill that is worth practising at every opportunity, as you will use this same movement to image the long and short axis of the foetus and almost every structure and organ you examine using ultrasound.

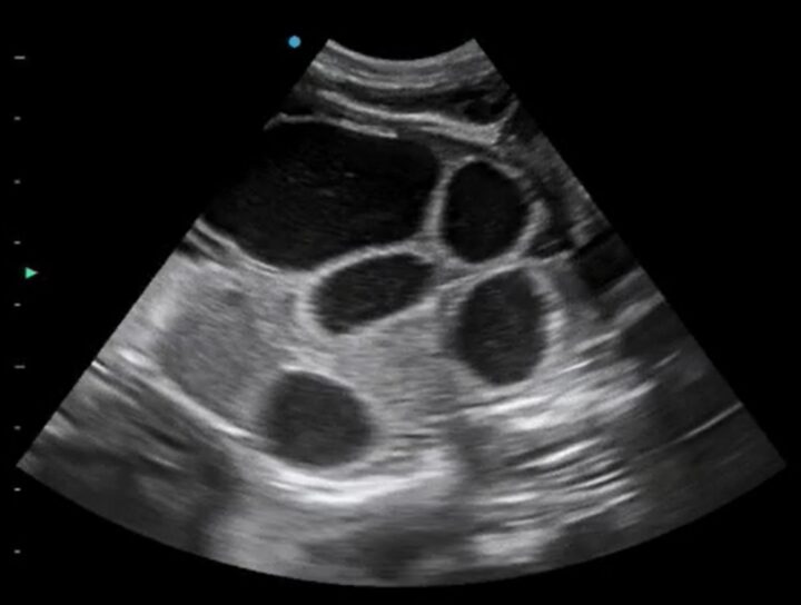
Manipulating your imaging plane is essential for certain measurements, such as crown–rump length and biparietal diameter. Still images can be ambiguous – Figure 3, for example, is not pregnancy – so watching a video clip (Video 1) instead makes this image more interpretable.
(Video 1)
Interpretation: confirming viability and spotting problems

Image optimisation is key to visualising foetal heartbeats in early pregnancy. Later in gestation, foetal movement should also be easy to observe.
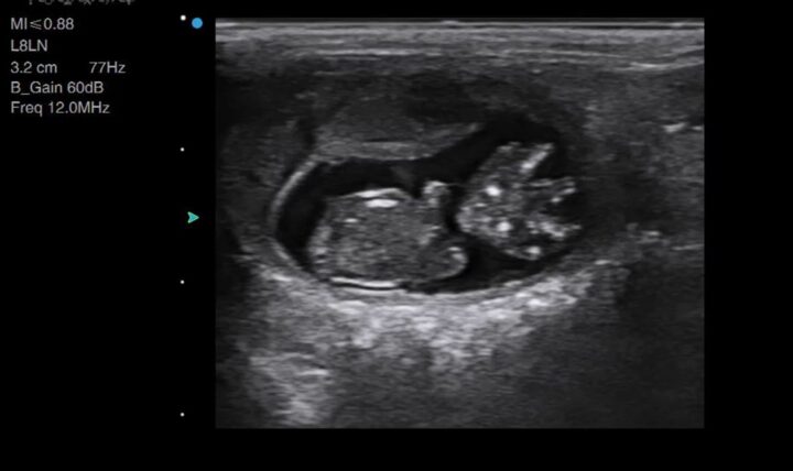
More advanced users may begin to spot foetal abnormalities, such as hydrocephalus, foetal anasarca or bowel obstructions, due to the ease at which ultrasound can image fluid (Figure 4). This is a clear advantage of the veterinarian performing scans in-house over the lay scanner, who would need to refer such findings.
In more mature pregnancies, you may also wish to calculate the foetal heart rate – particularly if worried about foetal distress – which can be performed using either M-mode (Figure 5) or Doppler. Pulsed wave Doppler can also be used for more advanced measures, such as calculating the resistance index, which can predict whelping time in dogs. Again, making comments on foetal heart rate is only within the remit of a veterinarian, and is another way to demonstrate expertise.

Special considerations: the use of ultrasound in rodents, rabbits and ferrets
There are unique considerations when scanning tiny creatures, both practically and in terms of safety.
Tips for scanning small mammals
- Use the highest frequencies possible on your transducer: if you have a high-frequency transducer, it is possible to obtain outstanding images on small mammals. Linear probes are ideal for this, but a microconvex probe operating at the top of its frequency range will deliver great images as well (Figure 6)
- Try turning on tissue harmonic imaging (THI). If your machine has THI, this will often clear up the nearfield, which is the area in which the foetuses will reside
- Use the probe with the smallest footprint
- Minimise scanning time
- Use water to soak the skin and part the fur if shaving is not an option (such as with rabbits)


Focus on safety
Higher frequencies result in higher thermal outputs. When scanning any species during pregnancy, you should be using a machine that measures its thermal outputs and displays them in the form of the “thermal index” on-screen either all the time or when a critical threshold is reached. This is even more important when scanning tiny creatures.
When scanning any species during pregnancy, you should be using a machine that measures its thermal outputs and displays them in the form of the 'thermal index' on-screen
It is also worth noting that the thermal index does not include any measure of transducer self-heating – the area in direct contact with the skin – which is likely to be of greater significance to an animal whose foetus is located only 1cm from the transducer head than a larger animal where the distance will be several centimetres. It seems sensible to suggest that examination times in tiny creatures should, therefore, be limited.
Taking it further with AUA
In a recent Naturewatch poll, 98 percent of vets said that pregnancy scans in small animals should be performed by veterinarians. Yet far fewer than 98 percent of vet practices promote a pregnancy scanning service to their clients (Naturewatch, 2022). For new users of ultrasound this may be because of a lack of confidence, but for most, it’s simply a lack of time.
Pregnancy scanning is time-consuming, with owners now expecting to be able to watch, ask questions, see the foetal heartbeats and have pictures and videos to keep and share with friends. They may also ask for a litter size estimate and an approximate gestational age. However, offering a pregnancy scanning service is a fantastic way to connect with clients, give them a better option than a “fertility clinic”, demonstrate your skills, market your services and generate more revenue from your ultrasound machine. What’s more, a veterinarian need only be involved if there is an abnormal finding, such as pyometra. A simple pregnancy confirmation in a normal animal can, instead, be performed by a trained nurse or even, for example, your local AUA-accredited lay scanner, who would likely be delighted to collaborate with you.
References (click to expand)
NatureWatch | 2022 | Breeding beyond dogs’ limits? Canine fertility clinics in the UK. NatureWatch Foundation |