This is a question a lot of vets are facing when treating a dog with hip dysplasia. Surgical options are becoming more accessible both in terms of availability and financially. This, along with total joint replacements now being commonly performed in humans, raises awareness of the treatment options for hip osteoarthritis.
When considering total hip replacement, there are numerous factors to consider. Common questions from owners include: Does my dog need a total hip replacement now? Could my dog’s quality of life be improved? When is a total hip replacement justified for my dog? Is surgery worth the risks? To answer these questions fully, the following points need to be considered.
History
Careful questioning of the owner is necessary to acquire a thorough history. Clinical signs often associated with hip dysplasia (Table 1) are more obvious when the hindlimb lameness is more pronounced on one side. In the case of older dogs, the history may be easier to interpret as owners often have a point of comparison from when their dog was young.
When considering younger dogs, identifying signs of pain via the owner’s history may be more challenging. Younger dogs are usually good at hiding their pain. Young dogs usually keep playing and exercising despite obvious discomfort or pain. If bilateral, owners do not have any point of comparison. In these cases, a therapeutic trial of an anti-inflammatory drug can be useful to demonstrate if discomfort is present. Dogs are often presented for abnormal gait and signs of pain are highlighted through the history (Table 1).
YOUNG DOGS (6 TO 18 MONTHS) |
|
OLDER DOGS |
|
Clinical/orthopaedic exam
The first part of the orthopaedic exam should focus on gait analysis. As the condition is often bilateral, a unilateral hindlimb lameness characterised by an asymmetry of the vertical displacement of the pelvis is rarely seen. It is, however, common for one limb to be more affected than another, so subtle gait asymmetries may be present. Common signs include a swinging gait with a bunny hopping gait while running or at trot in the most affected dogs. Dogs with subluxated hips tend to walk with a more abducted gait. Often dogs slightly shift laterally the most affected hindlimb.
Manipulation will typically elicit pain during hip extension in dysplastic or arthritic joints. The pain is often exacerbated by doing an abduction and extension of the hip at the same time. It would be very unusual to consider total hip replacement surgery should a dog not demonstrate evidence of hip discomfort on orthopaedic exam and through the history.
In young dogs, subluxation of the hips can sometimes be palpated with a mild pressure on the greater trochanters while the dog is standing. A subluxation or reduction of the hips can be felt with a swing of the pelvis. Young dogs are often in too much pain to perform an Ortolani or Barden test without sedation.
Other causes of hindlimb lameness must be ruled out during physical examination. It is not uncommon to find other causes of hindlimb lameness in addition to hip dysplasia. That should be addressed prior to considering hip surgery. Conditions to exclude include cranial cruciate ligament disease, lumbosacral disease, muscular disease (eg iliopsoas/gracilis/semitendinous contracture, pectineus pain), degenerative myelopathy, etc.
Are there alternative surgical options to total hip replacement?
Surgical options available for hip dysplasia that modify the hip anatomy can be considered in young dogs. Juvenile pubic symphysiodesis has been described in dogs that are younger than 24 weeks (however, are most effective if performed between 15 and 18 weeks of age) and demonstrate hip laxity on orthopaedic examination and distraction radiography. This surgery has been associated with a reduced risk of developing hip osteoarthritis in puppies with increased hip laxity (Patricelli et al., 2002; Manley et al., 2007; Bernarde, 2010). Unfortunately, most puppies presenting with clinical signs of hip dysplasia are older than 20 weeks and the window of opportunity is therefore missed.
A second surgery to consider in young dogs is the double or triple pelvic osteotomy. These techniques can be considered in dogs from 6 to 10 months of age demonstrating mild hip instability (identified through the Ortolani test), clinical signs of hip dysplasia and no radiographic evidence of osteoarthritis (+/- arthroscopy if available).
It is important to note that neither of these procedures (juvenile pubic symphysiodesis or triple pelvic osteotomy) eliminates the hip joint laxity characteristic of hip dysplasia and the progression of degenerative changes can still occur (Johnson et al., 1998; Manley et al., 2007).
Femoral head and neck excision is considered a salvage option that has been traditionally used for the treatment of painful hip joints. It is usually not recommended in large-breed dogs unless all the aspects of conservative management have been attempted and total hip replacement is not an option (Off and Matis, 2010).
When performed in small-breed dogs, femoral head and neck excision surgery can provide satisfactory outcomes from an owner’s perspective, particularly if an appropriate post-operative physiotherapy regime is employed. However, the results are less predictable (and can include persistent lameness) and the hip function will not be normal (having decreased range of motion, proximal displacement, etc). The difference of outcome between femoral head and neck excision and total hip replacement is less obvious in small breeds; however, the latter option is becoming increasingly recognised as offering improved outcome and should therefore be considered gold standard (Off and Matis, 2010).
Response to conservative management
The response to conservative management is an important part of the decision making. Upon instigation of a suitable conservative treatment regime, and should a dog be able to have a normal activity without clinical signs, surgery is unlikely to be recommended. Conservative management usually requires a multimodal approach, with an administration of pain killers on demand or continuously (eg NSAIDs, paracetamol), hydro-/physiotherapy, nutraceuticals, regular low impact activity, etc. In cases where pain or lameness persists despite conservative therapy, or lifelong medication is required to control clinical signs, surgery should be considered as an alternative.
Progression of clinical signs
Many young dogs (between 6 and 18 months) will tend to improve with conservative management. In young dogs a significant amount of the pain exhibited is thought to originate from instability of the hip joint and stretching of the soft tissue (joint capsule and round ligament). When skeletal maturity is reached, the dysplastic joint capsule thickens and instability may reduce. This can be seen clinically as a reduction in the amount of pain in affected joints and an improvement in the clinical signs. Osteoarthritis will, however, start to develop and progress.
In older dogs, the main cause of pain originates from osteoarthritis and eburnation of the articular cartilage. Pain from osteoarthritis and cartilage eburnation can, however, also be seen in some young dogs and is often secondary to the abnormal load distribution resulting from hip subluxation.
Young dogs with severe hip dysplasia are likely to improve with conservative management in the short term and may reach a point where only mild to moderate discomfort is present and can allow a reasonable quality of life. However, these dogs are unlikely to be pain-free without treatment and are likely to see a progressive worsening of their condition with ageing. This worsening is usually subtle and takes some time to be picked up by owners as it is bilateral and progresses slowly. These patients may therefore benefit from an early decision to perform total hip replacement surgery.

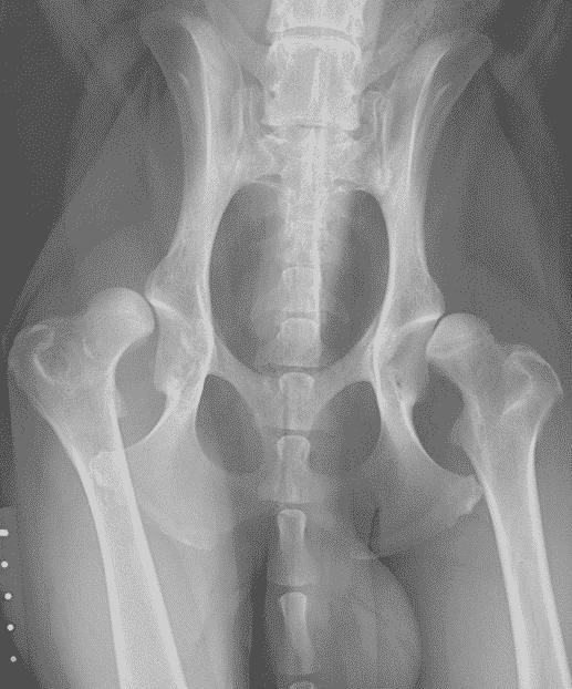
Even though there is limited association between radiographic and clinical signs of dysplasia, when both are severe, dogs are likely to benefit from early total hip replacement (Figures 1 and 2). In young dogs, the typical example is an eight- to nine-month-old medium to large-breed dog with luxoid hips which cannot walk for more than 10 to 20 minutes (Figure 2). These patients often only partially respond to conservative management and waiting for too long before a total hip replacement surgery may compromise its outcome. These dogs may experience remodelling of their proximal femoral metaphysis and diaphysis which may preclude the use of conventional implants or the chronically luxated hip may be extremely challenging to reduce in the future.


Owner’s expectations
Many dog owners do not tolerate the idea of having their pet suffering from discomfort or pain even if the dog’s quality of life is only mildly affected by hip dysplasia and osteoarthritis. This is particularly the case if owners have experienced osteoarthritic pain themselves. A dog’s total hip replacement is expected to last for the life of the patient; some owners are therefore keen to go straight for total hip replacement and do not want to wait for a degradation of their dog’s condition. A common question these owners would ask is “Why should I have my dog medicated and wait until they get worse when we could have them pain-free from now with a total hip replacement?”
Some owners may also expect a high level of performance from their dog and want them to be able to work or go for intensive activities without restriction.
Risk versus benefits of the surgery
The surgical risks should be considered as the informed consent is essential. The benefit of having a dog pain-free and back to normal activity after a total hip replacement is easy to understand for the owners and the risk of complication requiring further surgery is low but not insignificant (5 to 10 percent) (Johnson et al., 1998; Hummel et al., 2010; Off and Matis, 2010). Approximately 2.5 to 5 percent of dogs may eventually have their total hip replacement explanted resulting in a femoral head and neck excision. The cost and morbidity of complications therefore needs to be discussed.
Conclusion
Total hip replacement is becoming an increasingly performed surgery and mostly restores normal hip function and an excellent clinical outcome. Appropriate patient selection and owner counselling is important prior to surgery and surgery should be considered early in the course of the disease. Surgery can be performed in both young and old dogs and the decision to perform surgery as well as its timing will be influenced by the owner’s expectations and sensitivity
References (click to expand)
Bernardé, A. | 2010 | Juvenile Pubic Symphysiodesis and Juvenile Pubic Symphysiodesis Associated with Pectineus Myotomy: Short-Term Outcome in 56 Dysplastic Puppies. Veterinary Surgery, 39, pp. 158-164. |
Dyce, J., Wisner, E., Wang, Q. and Olmstead, M. | 2000 | Evaluation of risk factors for luxation after total hip replacement in dogs. Veterinary Surgery, 29, pp. 524-532. |
Gemmill, T., Pink, J., Renwick, A., Oxley, B., Downes, C., Roch, S. and McKee, W. | 2011 | Hybrid Cemented/Cementless Total Hip Replacement in Dogs: Seventy-Eight Consecutive Joint Replacements. Veterinary Surgery, 40, pp. 621-630. |
Hummel, D., Lanz, O. and Werre, S. | 2010 | Complications of cementless total hip replacement. Veterinary and Comparative Orthopaedics and Traumatology, 23, pp. 424-432. |
Johnson, A., Smith, C., Pijanowski, G. and Hungerford, L. | 1998 | Triple pelvic osteotomy: effect on limb function and progression of degenerative joint disease. Journal of the American Animal Hospital Association, 34, pp. 260-264. |
Manley, P., Adams, W., Danielson, K., Dueland, R. and Linn, K. | 2007 | Long-term outcome of juvenile pubic symphysiodesis and triple pelvic osteotomy in dogs with hip dysplasia. Journal of the American Veterinary Medical Association, 230, pp. 206-210. |
Off, W & Matis, U. | 2010 | Excision arthroplasty of the hip joint in dogs and cats: Clinical, radiographic, and gait analysis findings from the department of surgery, veterinary faculty of the Ludwig-Maximilians-University of Munich, Germany. Veterinary and comparative orthopaedics and traumatology, 23, pp. 297-305. |
Patricelli, A., Dueland, R., Adams, W., Fialkowski, J., Linn, K. and Nordheim, E. | 2002 | Juvenile pubic symphysiodesis in dysplastic puppies at 15 and 20 weeks of age. Veterinary Surgery, 31, pp. 435-444. |